
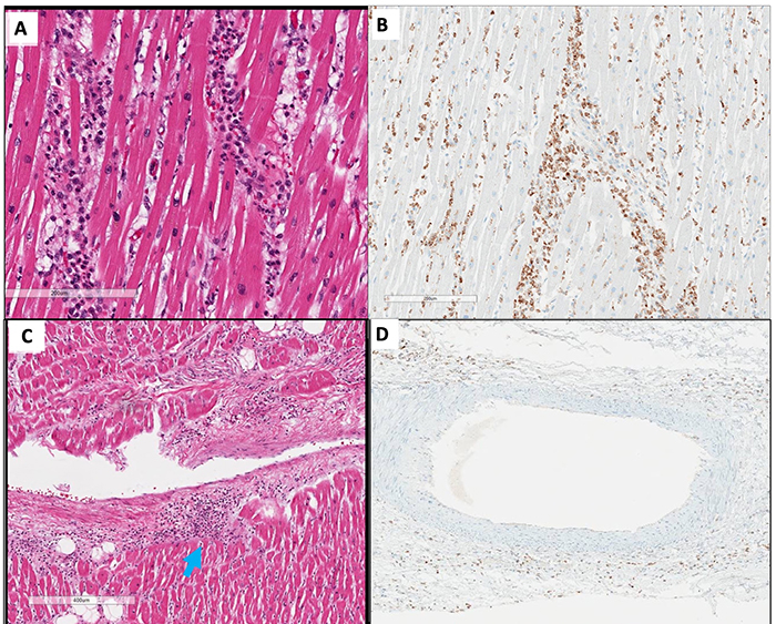
The LSU Health New Orleans pathologists identified microscopic evidence of inflammation involving the small cardiac vessels during the autopsy of a patient who died weeks after initially recovering from COVID.
MIS is a severe illness featuring severe inflammation of multiple organs that occurs after the resolution of COVID symptoms. Similar to Kawasaki disease, MIS cases have been increasingly reported among children and young adults. Although vascular damage seems to be a component of both diseases, the pathologic features of MIS have not yet been described.“We also found new pulmonary blood clots in a background of otherwise reparative changes in the lungs,” notes Sharon Fox, MD, PhD, Associate Director of Research and Development in the Department of Pathology at LSU Health New Orleans School of Medicine. “These clots indicate a potential for increased clotting affecting the pulmonary blood vessels beyond the initial course of COVID-19, as well as the need for continued monitoring of laboratory markers and possible anticoagulation.”
“Our report highlights the potential for serious complications due to damage to the lining of the vessels in the heart after COVID-19,” adds Richard Vander Heide, MD, PhD, Professor and Director of Pathology Research at LSU Health New Orleans School of Medicine.The team concludes, “Careful monitoring of laboratory markers of cardiac and systemic inflammation, as well as therapeutic intervention to target this inflammatory process, may improve patient outcomes.”
______________________________________________________________________________________________________________ LSU Health Sciences Center New Orleans (LSU Health New Orleans) educates Louisiana's health care professionals. The state's health sciences university leader, LSU Health New Orleans includes a School of Medicine with branch campuses in Baton Rouge and Lafayette, the state's only School of Dentistry, Louisiana's only public School of Public Health, and Schools of Allied Health Professions, Nursing, and Graduate Studies. LSU Health New Orleans faculty take care of patients in public and private hospitals and clinics throughout the region. In the vanguard of biosciences research, the LSU Health New Orleans research enterprise generates jobs and enormous annual economic impact. LSU Health New Orleans faculty have made lifesaving discoveries and continue to work to prevent, advance treatment or cure disease. To learn more, visit http://www.lsuhsc.edu, http://www.twitter.com/LSUHealthNO, or http://www.facebook.com/LSUHSC.