
A group of LSU Health New Orleans residents and medical students was invited to play in a basketball tournament against New Orleans Recreation Department (NORD) coaches at the Rosenwald Recreation Center during the recent Night Out Against Crime. NORD organized the event to recognize the impact that the Health and Hoops with Doctors outreach program has had on the Calliope/Rosenwald community. More

LSU Health New Orleans turned out in force to inspire a passion for science at STEM Fest hosted by the New Orleans Saints and Pelicans at the Caesar Superdome. Faculty, staff and students from four schools volunteered at the event. More

Dr. David Simmons, Associate Professor in the Department of Periodontics at LSU Health New Orleans School of Dentistry, is a People Health Champion! He was honored for launching the first-of-its-kind Implant Restorative Fellowship Program in August 2006, at the age of 67. More

Governor John Bel Edwards chose to celebrate the best budget for education in Louisiana history and the state’s investment in health care on the LSU Health New Orleans campus this week. More

Louisiana Dental Association (LDA) leadership joined LSU Health New Orleans leadership recently to see the new dental chairs they helped make possible. Although not given a second thought by most, good dental chairs are a medical necessity. They support the patient’s body, firmly holding the head and neck in place. They provide the comfort necessary to help the patient relax. More

High school, undergraduate and medical students from Louisiana to California presented their research findings after another successful summer for STEM pipeline programs at LSU Health New Orleans’ Schools of Medicine and Graduate Studies. More

LSU Health New Orleans celebrated the end of slavery in the United States with A Taste of Juneteenth, an event featuring history, culture, food and competition. The nearly 600 faculty, staff and students were given a Passport to Juneteenth Freedom Day with places for completion stamps for the four stations – Welcome, History of Juneteenth, Red Room and Taste of Juneteenth. More

LSU Health New Orleans Respiratory Therapy students Hailey Carter, Justice Pitts, Amanda Nguyen, and Alexis Werner won first place for their poster presentation at the Louisiana Society for Respiratory Care’s 51st Annual Educational Meeting and Exhibits Open Forum for Abstracts. Their presentation, “The Effects of Waterpipe Tobacco Smoking on the Respiratory System,” was about the dangers of hookahs and the misconceptions around them, their comparison to cigarettes, and their effect on the respiratory system. More

Thirty-three members of the Master of Occupational Therapy Class of 2024 at LSU Health New Orleans School of Allied Health Professions reached a milestone this month. As their loved ones looked on, faculty welcomed them to health care practice at a White Coat Ceremony. One by one, faculty “coated” the students, placing the mantle of professional practice on the students’ shoulders. More

Faculty, staff and students from LSU Health New Orleans’ Schools of Medicine, Allied Health Professions, Nursing and Public Health spent a recent Saturday at the New Orleans Saints Training Facility stoking a love for science in the health disciplines. More

The LSU Health New Orleans School of Medicine Class of 2023 gathered this morning at the Audubon Tea Room to celebrate together what the future holds for them. They would find out at 11:00 a.m. what Residency Program they “matched” and where they would go for their graduate medical education. More

The success of a Cancer Moonshot doctor and his team in bringing the latest cancer breakthroughs to patients where they live in Louisiana and Mississippi caught the attention of First Lady Jill Biden, Ed.D. Last November, the National Cancer Institute (NCI) highlighted the advances of the Gulf South NCORP led by LSU Health New Orleans’ Augusto Ochoa, MD, to increase access to promising cancer treatments in communities throughout the region. More

The Peer Advocate Liaison (PAL) Program held its first Resource Fair since 2020 on Tuesday, February 14, 2023. More

LSU Health New Orleans School of Dentistry faculty, students and residents hosted two busloads of first graders from Dr. John Ochsner Kenner Discovery Academy Friday, February 3. It was Give Kids a Smile Day. More

Richard G. Blackman, III, became the first LSU Health New Orleans University Police Chief to take the Oath of Office at a Swearing-In Ceremony on January 20, 2023. More

What would have been a fantastical occurrence elsewhere but would ordinarily have been nothing unusual in New Orleans during Carnival Season, was anything but. It was a first! More

One hundred forty-six white coats were recently presented to Sophomore II and CARE Class of 2024 students at LSU Health New Orleans School of Nursing, one posthumously. More

Serena Auñon-Chancellor, MD, Clinical Associate Professor of Medicine at LSU Health New Orleans School of Medicine’s Baton Rouge campus, is one of two physician-NASA astronauts recently interviewed by the New England Journal of Medicine about aerospace medicine. More

As 2022 winds to a close, LSU Health features highlights for each month of the year. More

What does a combat medic have in common with a college junior? It turns out, plenty. They are one and the same. Meet Marshay Stevenson, a Junior II student in the Traditional Nursing program at LSU Health New Orleans School of Nursing, who has been a member of the Army National Guard since her junior year of high school. As a 68W Health Care Specialist, she is the first line of medical care that a soldier will receive. She comes by her love for the military and for nursing honestly. More

Hundreds of future clinicians recently reached a milestone in their journey toward becoming full-fledged, licensed members of their health care disciplines. Students in LSU Health New Orleans’ Schools of Medicine, Dentistry, Allied Health Professions and Nursing received a visible symbol of patient care at their White Coat ceremonies. More

To address a critical blood shortage and carry on his tradition of service, the third-year class of LSU Health New Orleans School of Medicine recently organized a Blood Drive to honor the memory of James Benjamin Miller, III. James was the son of Dr. Fern Tsien, Assistant Dean for Medical Student Research and Associate Professor, Department of Genetics. More

The Student International Health Organization (SIHO) at LSU Health New Orleans School of Medicine is raising money to help support Ukraine. All proceeds will be donated to the Evangelical Ukrainian Baptist Church of Sacramento, which has volunteers on the ground throughout Ukraine and at refugee camps in Poland that have been providing medical supplies to the displaced. More

A GI Fellow at LSU Health New Orleans School of Medicine has started a grassroots fundraising for humanitarian aid for Ukraine. Lilia Stefaniwsky, MD, MBA, is Ukrainian-American with family and close friends in Lviv and Kyiv. More

It was a day filled with pride and deep gratitude, and there wasn’t a dry eye in the house. Faculty and staff from LSU Health New Orleans Schools of Dentistry and Medicine joined Mrs. Karleen “Mackey” Gremillion and Ozanam Inn staff and volunteers to honor the memory of her late husband. They gathered at a ceremony on March 7 at Ozanam Inn’s new home on Poydras Street to dedicate the upgraded and expanded Dental Clinic to Dr. Henry A. Gremillion, who served as Dean of LSU Health New Orleans School of Dentistry from 2008 until his death in May 2020. Dr. Gremillion believed in service before self. More

It started out as an ordinary Saturday. After going duck hunting, Michael McMahon was heading home from his parents’ house in River Ridge. Little did he know that he would become a medical first responder within blocks. His brother was ahead of him, and when he saw damaged vehicles and someone on the ground, he called McMahon and told him to hurry. McMahon, a third-year medical student at LSU Health New Orleans School of Medicine, parked a block away and ran. What he saw when he got there would have chilled a seasoned medical professional. More

This week’s National Cancer Institute Black History Month Spotlight features John Stewart, IV, MD, MBA, FACS, Professor of Surgery at LSU Health New Orleans School of Medicine and Founding Director of the LSU Health New Orleans/LCMC Cancer Center.More

LSU Health New Orleans School of Medicine’s Dr. Benjamin Springgate, Professor of Medicine and Chief of Community and Population Medicine, and Dr. Ryan Pasternak, Professor of Pediatrics and Head of the Division of General Pediatrics and Adolescent Medicine, helped New Orleans Public Schools become the first in the nation to require COVID vaccinations. More

Among the 567 new COVID-19 cases reported today in Louisiana are two confirmed cases of the Omicron variant from the New Orleans area found by the LSU Health New Orleans’ Precision Medicine Laboratory. More

Lucio Miele, MD, PhD, Professor and Chair of Genetics at LSU Health New Orleans School of Medicine, is on the hunt. And he may be one of the first people to see the appearance of the Omicron variant of SARS-CoV-2 in Louisiana. Along with Medical Director Dr. Gordon Love, Professor and Chair of Pathology, Dr. Miele directs LSU Health New Orleans’ Precision Medicine Laboratory that has been sequencing samples from positive tests to learn what strains of the virus that causes COVID-19 are infecting patients here. More

2006 was a busy year for Louisiana State Senator Edwin Murray. His district, District 4, along with the rest of metropolitan New Orleans, was early in the process of recovering from the devastating flooding following the floodwall failures after Hurricane Katrina. He filed 67 bills in the 2006 regular session of the Louisiana Legislature. One, though, recently made national news for its far-reaching historical impact. More

ZERO to THREE, the nation’s leading early childhood development nonprofit dedicated to ensuring all babies and toddlers have a strong start in life, presented one of two Lifetime Achievement Awards to Joy Osofsky, PhD, Paul J. Ramsay Endowed Chair of Psychiatry and Barbara Lemann Professor of Child Welfare at LSU Health New Orleans. More

One hundred ninety-five members of the Class of 2024 and one hundred ninety-seven members of the Class of 2025 at LSU Health New Orleans School of Medicine marked a milestone recently during their White Coat Ceremonies. The pandemic forced the cancellation of the Class of 2024’s ceremony last year, so both classes celebrated this month. More

When Steve Nelson started college at the State University of New York at Stony Brook, he intended to become an English teacher. Little did he know back then that he would wind up leading not only a medical school but an entire academic health sciences center. As often happens during undergrad, though, exposure to other disciplines can open up new worlds. More

Three LSU Health New Orleans licensed professional counselors and registered play therapists have created a new book to help children cope with the experience and aftermath of Hurricane Ida. A couple of very talented children, Susanna (age 8) and Ellie (age 6) Frischhertz, drew the illustrations. The authors have made it available to teachers, parents and caregivers at no charge. More

LSU Health New Orleans second-year medical students Heather Duplessis and Lauren Bagneris were honored by the Louisiana State Legislature and Mayor LaToya Cantrell during new LSU President William Tate, IV’s first visit to LSU Health New Orleans. More

Joseph M. Moerschbaecher, III, PhD, who recently retired as Vice Chancellor for Academic Affairs and Dean of the School of Graduate Studies at LSU Health Sciences Center New Orleans, passed away July 1, 2021, from complications of esophageal cancer. More

In keeping with COVID-19 restrictions, students from LSU Health Sciences Center New Orleans’ six professional health schools were honored in separate school ceremonies during May and June 2021. Graduates included students from LSU Health Sciences Center New Orleans’ Schools of Allied Health Professions, Nursing, Public Health, Graduate Studies, Dentistry and Medicine. More

The team at the LSU Health New Orleans COVID Vaccination Clinic celebrated a milestone on June 22, 2021. More

“I have had people driving by me or walking down the street yell racial slurs at me – ch***, g***, "take back your coronavirus", etc.,” reports one resident. “In the hospital, I have had patients refuse treatment from me because of my race. I have witnessed my Asian American colleagues being yelled at with various racial slurs. More

As Category 4 Hurricane Laura bore down on the Louisiana coast near Lake Charles, thousands of residents were evacuated to get them out of harm’s way. The COVID pandemic precluded the traditional reliance on congregant shelters. So instead, New Orleans area hotels provided shelter to more than 10,000 of them. Some were pregnant women. More

July 1, 2020 is a big day in the life of newly minted doctors. It is the day when they start their residency programs, the graduate medical education training that is their final preparation before they can practice their medical specialties on their own. It is a milestone that an unusual mother and daughter are reaching together. More

One of the challenges we face working from home during the COVID-19 pandemic is lower back and shoulder pain from hunching over laptops and sitting on anything but ergonomic office chairs. More

A children’s coping and coloring book written and illustrated by three counselors at LSU Health New Orleans to help children deal with the upheaval of the COVID-19 pandemic has garnered attention and acclaim from far and wide. Louisiana First Lady Donna Edwards chose Caroline Conquers her Corona Fears to read during her virtual story time. More

One of the preventive measures health experts recommend to prevent coronavirus infection is to not touch your face. Research indicates that some of us touch our cellphones up to thousands of times each day, and when we take or make calls, we hold our phones up to our faces. More

A trio of LSU Health New Orleans Clinical Rehabilitation and Counseling colleagues who are counselors and Registered Play Therapists, have developed a creative and innovative resource for parents and caregivers to help children cope with the stress and anxiety of the COVID-19 pandemic. More

“I wanted to take a minute to tell you about what some of your students are doing during this unplanned interruption of the academic year. Since we stopped attending class on campus, I have been working quite a few hours as a tech in a local Emergency Room. We were busy and shorthanded before the pandemic began, and that situation has only worsened. More

The 10th Annual Food and Fund Drive at LSU Health New Orleans was the most successful yet. The drive benefits Second Harvest Food Bank. More

LSU Health New Orleans offered thousands of K-12 students a variety of hands-on activities during STEM Fest 2019 at the Mercedes Benz Superdome. More

Community residents attending NOPD’s 2019 Night Out Against Crime Kick-Off event on Lafitte Greenway were delighted with the activities offered by LSU Health New Orleans faculty, staff and students. Especially popular were the gardening demonstration where children planted seeds to take home and watch grow and the kick-boxing, hula hoops, nerf ballgames and other outdoor sports. More

Of the 53 jurisdictions nationally, only four reported local flu activity for the week ending October 5. Louisiana was one of the four. And Louisiana was the only jurisdiction that reported moderate influenza-like illness activity. More

They may look like miniature furbies, but don’t make the mistake of thinking they’re safe to handle. Puss moth caterpillars (Megalopyge opercularis), also known as asps, are one of the most toxic caterpillars in North America. More

At the recent annual meeting of the NCI Community Oncology Research Program (NCORP), LSU Health New Orleans faculty and staff garnered top honors in three of four awards categories. More

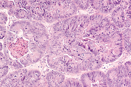
LSU Health New Orleans clinical researchers helped develop a new treatment for endometrial cancer that was a medical first. It is the combination of two drugs that were already approved for other cancers, and investigators from LSU Health New Orleans Stanley S. Scott Cancer Center clinically tested both of them. More

Thirty-five members of LSU Health New Orleans Doctor of Physical Therapy Class of 2022 received the mantle of clinical care at their recent White Coat Ceremony. More
Imagine being listed as the point person in your organization for a $128.5 million bill in Congress. A heady thing for a 26-year-old who is still in school. More
Meet Joshua Bertuglia. He looks like a typical 5th-grader who loves all things football and New Orleans Saints and who is leaning toward becoming a chef. He says his mother wouldn’t let him become a professional football player because he might break his leg. More

LSU Health New Orleans School of Medicine and the Chef John Folse Culinary Institute at Nicholls State University have teamed up to create a new elective in culinary medicine. More

A member of the LSU Health New Orleans faculty and a passerby were fortunate that Sgt. Devon Allen was working Wednesday, July 10. More

LSU Health New Orleans is looking for parents with a child between the ages of 8-18 who plays baseball, softball, or soccer to take a 5-minute online survey researching their thoughts on youth sports participation. More

You’ve heard of personal trainers, but what about health coaches? They, too, work one-on-one with people, but with a broader mission – improving health overall. Though a relatively new discipline, the value of this relationship-based approach is gaining greater recognition. More

Twenty-one years ago this week, a jazz funeral for jazz funerals kicked off the official dedication of LSU Medical Center (now LSU Health New Orleans) Musicians’ Clinic. More

LSU Health New Orleans faculty participation in marching groups is not limited to males. Three female LSU Health New Orleans faculty are members of the Amelia Earhawts – recently voted the Rex Duke Carnival 2019 Best Marching Krewe by Gambit readers. More

Who knew that a baby in an orphanage in a sleepy, rural, one-traffic-light Louisiana town would one day chair the board of directors of the sole national organization representing academic dentistry. More

It’s that time of year. If your nose hasn’t run like Snoqualmie Falls and your sinuses haven’t been full-to-bursting yet, rest assured congestion will likely soon be calling your name. With plunging temps, close quarters, exploding cases of influenza, flu-like illness, colds and other respiratory infections, expect to become intimately acquainted with mucus. More

Meet LSU Health New Orleans’ Brittney Wright. She’s is a speech-language pathologist. She is also a Saints fan. A rabid Saints fan. And therein lies her dilemma. More

Fifteen patients left LSU Health New Orleans School of Dentistry Saturday with new smiles. Through a course during which dentists learned how to make and fit the “Immediate Denture,” these economically disadvantaged patients referred through the Daughters of Charity Health System received their dentures in just one day. More

“As I was considering summer options, I came to the realization that this was my ‘last summer’ until I retire,” recalls LSU Health New Orleans second-year medical student Kelsey Cramer. “I felt compelled to do something big and different and exciting.” More

What the nurses remember most is the smell of blood and iron and steel recalls Dorita Sondereker, RN, Administrative Director of Emergency Services at Sunrise Hospital in Las Vegas. The floor was solid red. More

LSU Health New Orleans School of Nursing alumni, faculty, students and staff put on their boogie shoes for the 4th Annual Mudbug March to Stomp Out Pulmonary Hypertension (PH). More

Breast cancer survivors, their families and friends, along with those committed to making a difference in a community struck hard by this disease, partied with a purpose Saturday morning in Woldenberg Park. More

Even though demands on our time grow dramatically at this time of year, now is not the time to forego regular exercise cautions Melinda Sothern, PhD, CEP, Professor and Jim Finks Endowed Chair in Health Promotion at LSU Health New Orleans School of Public Health. Even just a short break can have surprising impact. More

When representatives from international health organizations gathered in Tegucigalpa, Honduras this summer to discuss the current global Zika Virus situation and develop proactive programs for care in the Americas, LSU Health New Orleans’ Dr. John England was a leading participant. More

Dozens of underserved children got their smiles ready at a back-to-school dental checkup on August 14, 2017. The free community service was held at the LSU Health New Orleans After-Hours Pediatric Dental Clinic. More

LSU Health New Orleans School of Public Health faculty and staff participated in the New Orleans Baby Cakes’ Cancer Awareness Night on Friday, August 4, 2017, at the Shrine on Airline. More

LSU Health New Orleans’ Dr. Melinda Sothern and Dr. Marc Bonis have found that a screening test can identify movement deficiencies by age or gender that could result in injury before physical training begins. More

Research led Dr. Joy Osofsky, Professor of Pediatrics and Psychiatry at LSU Health New Orleans School of Medicine, has found that adolescents who experienced the double disasters of Hurricane Katrina and the Deepwater Horizon Oil Spill not only experienced the same emotional trauma, posttraumatic stress (PTS), anger, depression and family problems as adults, More

A free oral cancer screening conducted by LSU Health New Orleans faculty, residents and students found abnormalities in about 20% of the participants. More

Dr. Lisa Peacock, Obstetrics & Gynecology chair and director of female pelvic medicine and reconstructive surgery at LSU Health New Orleans School of Medicine, took the pro position in a debate about whether or not obstetricians should routinely check the bladder and urethra when performing hysterectomies. More

Woldenberg Park was a sea of yellow and pink t-shirts, balloons, boas, shoes, tutus, socks, caps and all manner of other headgear, in every shade of pink. More

About 160 participants decked out in their disco finest boogied down at Mudbug March to Stomp Out Pulmonary Hypertension 2017. It was the largest crowd yet in the third year of the event. More

Dr. Rohan Walvekar was one of four US head and neck surgeons invited to serve as faculty at ENT Summit 2017 & 3rd Navigated Sinus and Skull Base Surgery Meeting. More

A member of the LSU Health New Orleans Anatomy faculty is also a 610 Stomper. Watch!
LSU Health New Orleans, in partnership with the Louisiana State Board of Dentistry, hosted the 62nd Southern Conference of Dental Deans and Examiners January 20-22, 2017. More

LSU Health New Orleans School of Nursing sent nine delegates to the recent Louisiana Association of Student Nurses (LASN) annual state convention. More

LSU Health New Orleans School of Dentistry has a special reason to pull for the New Orleans Saints defense. Every time the defense forces a turnover, Louisiana Dental Center turns over funding to LSU Health New Orleans School of Dentistry. More

LSU Health New Orleans faculty, staff and students partnered with Nuestra Voz to provide health, science and career information at the recent ¿Que Pasa? Fest 2016. More

Twenty L2 and L3 LSU Health New Orleans medical students, along with Family Medicine residents and School of Medicine faculty, provided LHSAA physicals to more than 70 student athletes at the 2016 Tools for Schools Health and Resource Fair. More

At the first annual Chicken Jam, an Al Copeland Foundation (ACF) event benefiting research at LSU Health New Orleans' Stanley S. Scott Cancer Center, Al Copeland, Jr. announced that their 9-day campaign exceeded its fundraising goal by nearly three times. More