
“This study shows the amazing ability of our immune system to fight off and destroy an aggressive form of skin cancer called Merkel cell carcinoma,” says Dr. Riker. “The study drug, pembrolizumab, which is a new form of immunotherapy, blocks a specific receptor in our bodies, resulting in a super charging of our immune system to both recognize and destroy cancer cells. The overall impressive results show that this form of immunotherapy is quite effective, giving us an important treatment option for patients with Merkel Cell Carcinoma that has spread within the body.”

Nearly all of the participants (96%) experienced some type of treatment-related side effect, and seven patients discontinued the trial because of them. The authors note that one death occurred in a 73-year-old patient with widely metastatic Merkel cell carcinoma and pre-existing atrial fibrillation who withdrew from the trial and died 10 days after a single infusion of pembrolizumab.
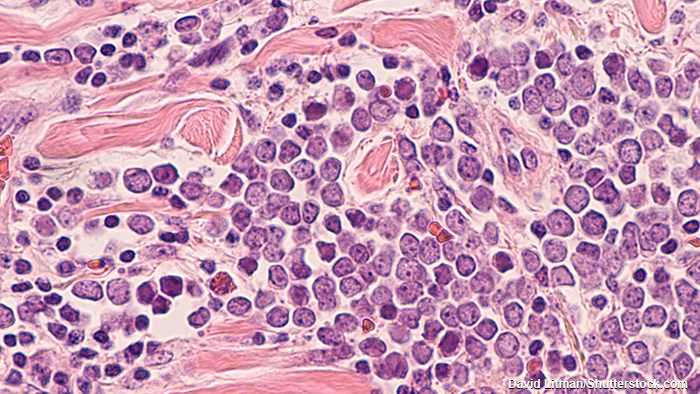
According to the National Cancer Institute, Merkel cell carcinoma is a disease in which malignant (cancer) cells form in the skin. Sun exposure and a weak immune system can affect the risk of Merkel cell carcinoma. Though rare, the incidence of Merkel cell carcinoma increased by 95% between 2000 and 2013. The five-year overall survival rate ranges between 14 and 27% for advanced disease.
Other centers participating in the trial are University of Washington/Fred Hutchinson Cancer Research Center, Johns Hopkins Kimmel Cancer Center and Bloomberg–Kimmel Institute for Cancer Immunotherapy, Emory University, Moffitt Cancer Center, Mount Sinai Medical Center, University of California San Francisco, Yale University, Stanford University, University of Pittsburgh, Duke University Medical Center, Ohio State University Comprehensive Cancer Center, City of Hope, Fred Hutchinson Cancer Research Center/Cancer Immunotherapy Trials Network, University of Washington, and Axio Research.
The research was supported by grants from the National Cancer Institute, the Merkel cell carcinoma (MCC) patient gift fund at University of Washington, the Kelsey Dickson MCC Challenge Grant from the Prostate Cancer Foundation, the Al Copeland Foundation, and Merck, which provided pembrolizumab and partial funding for this study.